近日,家住衢州市區的吳老太太在睡夢中突發心前區難以忍受的疼痛,“老太太突然間胸痛的厲害,頭暈、沒力氣、直冒汗”說起當時的不適,吳老太太的家人心有余悸,立即把老人送到衢州市人民醫院急診科就診。
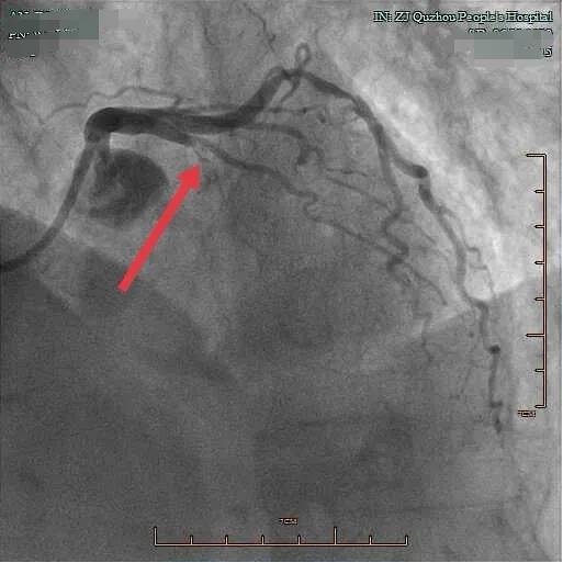
據悉,今年已有94歲高齡的吳老太太突發心臟疼痛,是由于老太太的冠脈血管有多處狹窄,最嚴重處已完全堵塞,這是造成老太太心肌梗死的病灶?!肮呐K血液的血管,就像自來水管,長期使用就可能會有雜質堵塞。經皮冠狀動脈造影術,就是明確供應心臟血液的血管是否堵塞,堵塞了多少?!毙膬瓤浦魅瓮罆曾Q醫師告知。

第一時間開通綠色通道,立刻進行心電圖檢查,快速診斷老太太為急性心肌梗死?!俺啐g、多項基礎疾病......”心血管內科值班醫生快速到達會診后,立即啟動急性心肌梗死急救流程,心內科主任屠曉鳴醫師接到電話后第一時間奔赴心內導管室。
急診手術準備就緒,在屠曉鳴的帶領下,心內科介入診療團隊為吳老太太行急診經皮冠狀動脈造影術。
橈動脈穿刺建立通路后,支架植入病變狹窄的血管,定位明確,立即使用抽吸導管抽出長條狀血栓,快速打通了血管,順利在最嚴重狹窄處植入支架,手術成功!
“感謝屠主任,感謝心內科的醫生護士,感謝你們幫助我解除病痛的困擾?!眳抢咸o緊握住屠曉鳴主任的手,表達感激之情。經過一周余的康復治療,老太太順利出院。
“發生心肌梗死,黃金救治時間為120分鐘,從發病至開通梗死血管,如果能在120分鐘內完成,可大大降低病死率和致殘率,血管開通越早,效果越理想?!蓖罆曾Q主任告知,如果突發心梗,應立即呼叫120就近前往有急診介入資質的醫院就診。
科普
急性心肌梗死是危及生命的急危重癥之一。典型的臨床表現是胸痛、胸悶、胸部壓迫感等表現,可向左肩部、左上肢放射,甚至出現牙齒、咽喉部、腹部等不典型部位的疼痛或緊束感。特點是發病急、進展迅速、死亡率高,可出現惡性心律失常、心力衰竭、休克、心臟破裂等危及生命的并發癥。
科室介紹
衢州市人民醫院心血管內科具有完善的冠脈介入團隊和體系,作為衢州市重點學科單位,它承擔著心肌梗死的救治工作,醫護患的緊密配合,縮短了心肌再灌注的時間,從而提高心肌梗死患者的存活率。衢州市人民醫院心血管內科急性心肌梗死急診介入治療技術及手術量在省內處于先進水平,并在聯合呼吸機、ECMO支持下完成急診介入治療,已成功挽救了眾多瀕死患者的生命。(姜富祺 供稿)